
Advanced Brain & Skull Base Tumor Neurosurgeon
Expert surgical care using the most advanced technologies and minimally invasive techniques to maximize safety, preserve function, and improve outcomes.
Expert Brain Tumor Care
Dr. Daniel Aaronson specializes in advanced neurosurgical oncology using cutting-edge techniques to provide personalized, minimally invasive brain tumor treatments and neurological care.


Precision
Advanced imaging, intraoperative mapping, and connectomic-guided navigation to safely identify and protect critical brain pathways.
Fluorescence-guided surgery, intraoperative MRI, and laser tumor ablation for safer, less invasive tumor removal.
Innovation
Personalization
Tailored surgical planning that aligns with each patient’s diagnosis, anatomy, and individual goals for treatment and recovery.
Advanced brain tumor surgeries and minimally invasive neurosurgical treatments using cutting-edge technologies.


Awake Craniotomies
Performing surgery while the patient is awake to preserve speech, movement, and other vital brain functions.




Intraoperative MRI
Real-time MRI during surgery to ensure complete and precise tumor removal while protecting healthy tissue.
Fluorescence-Guided Surgery
(5-ALA)
A targeted dye that illuminates tumor cells under blue light, helping distinguish tumor from normal brain tissue.


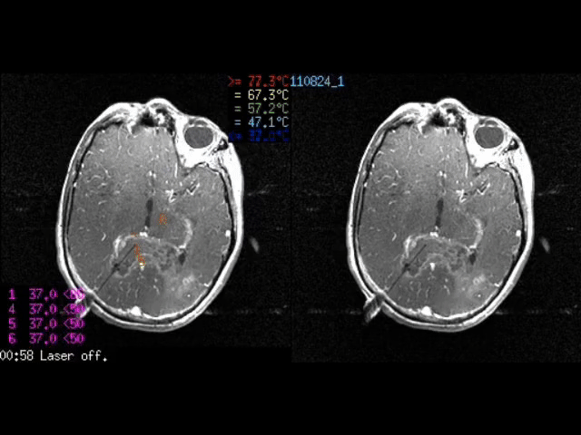
Laser Interstitial Thermal Therapy (LITT)
MRI-guided laser therapy that destroys deep or recurrent tumors through a small incision, often with same-day recovery.
Connectomic-Guided Surgery
Real-time MRI during surgery to ensure complete and precise tumor removal while protecting healthy tissue.




Endoscopic Endonasal Incision-less
Surgery
A minimally invasive approach through the nose to remove pituitary and skull base tumors without external incisions.


Functional Motor Mapping
Real-time stimulation used to identify and preserve motor pathways during tumor surgery near areas controlling movement.


Intraoperative Brachytherapy Radiation
Targeted radiation seeds placed directly in the tumor cavity to reduce recurrence risk after resection.


Precisely targeted, non-invasive radiation treatment for select brain and skull base tumors.
Stereotactic Radiosurgery
Operative Technique and Innovation
State-of-the-art microsurgical and endoscopic techniques that advance the care of patients with brain and skull base tumors







